How the Patient Found the Practice
Janette came to see Dr. Pytlik after experiencing a fracture in her existing full-arch implant prosthesis.
Both the upper (maxillary) and lower (mandibular) prostheses had been in place for over 12 years and were made with outdated materials.
Concerned about function and appearance, she sought an expert solution to restore her smile.
Initial Condition & Life Before Treatment
Janette had struggled with fracturing teeth for years before eventually opting to extract all of them and transition to an implant-supported full-arch bridge.
While the prostheses served her for over a decade, they had begun to wear down significantly, leading to repeated fractures, especially in the upper arch.
First Appointment & Discovery
When Janette first visited, she had just fractured tooth #9.
Dr. Pytlik explained that while the tooth could be repaired, there was a high likelihood it would break again due to the age and materials of the prosthesis.
Janette chose to take the risk and proceeded with the repair. However, just a few days later, the same tooth fractured again.

Retracted #9 fracture before
Why This Case Needed a Second Look
After the quick re-fracture, Janette and Dr. Pytlik revisited the broader issue: the prostheses’ outdated construction.
While only the upper arch had failed, the lower prosthesis also showed visible fracture lines. Dr. Pytlik explained that placing a stronger Zirconia prosthesis on the upper arch while leaving the older, weaker material on the bottom would create an imbalance, likely leading to future problems.
Janette agreed to move forward with a full-arch Zirconia restoration for both arches.
Treatment Plan & Approach
The treatment plan involved removing both the upper and lower prostheses.
New multi-unit abutments were delivered, and scan posts were placed on the implants before performing a digital scan via CAD-CAM.
While the new temporaries were being fabricated, Janette’s existing prostheses were reattached so she wouldn’t have to go without teeth.
Four weeks later, the PMMA temporaries were delivered. Another four weeks after that, Janette returned for the delivery of her final maxillary and mandibular Zirconia prostheses.
Case Progression & Key Milestones
The transition from old to new prosthetics was smooth and well-managed. Janette was thrilled not to experience any time without teeth.
A year later, she continues to do well, returning every three months for hygiene visits and ongoing implant maintenance. The results remain strong, functional, and esthetically pleasing.

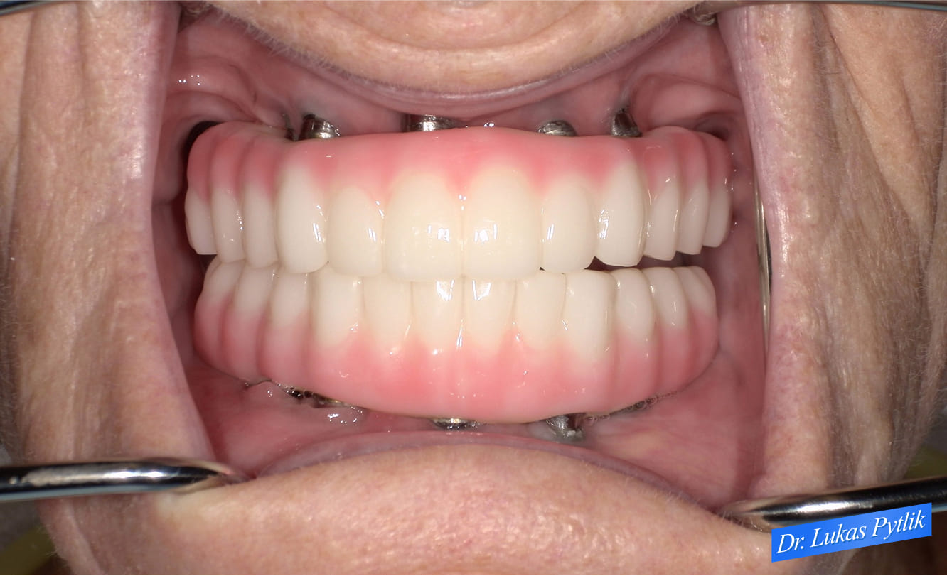
Retracted after
Outcome
With her new Zirconia prostheses, Janette can smile and eat confidently, knowing that her restorations are strong and built to last.
She was particularly happy with the brighter, fuller appearance of her new smile.
More importantly, the emotional transformation was profound. Previously embarrassed around her grandchildren, who, as she noted, “can be pretty cruel,” she now smiles freely.
Despite past anxiety around dental visits, she described feeling comfortable throughout her treatment journey.
“I’ve been showing them off to everyone!” — Janette
Restore comfort, function, and confidence. Discover what’s possible with skilled, compassionate care.

Up-close #9 fracture before

Up-close smile after
Clinical Notes for Referring Doctors
This case highlights a successful long-term restoration of maxillary and mandibular full-arch implant prostheses.
With outdated materials replaced by modern Zirconia, the patient now benefits from improved strength, function, and esthetics.
One year post-delivery, results remain stable with regular hygiene maintenance.
Dr. Pytlik offers advanced implant prosthetic solutions with long-term follow-up and esthetic outcomes. Refer full-arch cases that require reconstruction, durability, and patient-centered care.